Full Text
Introduction
Fine-needle aspiration (FNA) cytology is one of the first-line diagnostic tools in the evaluation and management of salivary gland lesions. It plays a vital role in differentiating neoplastic from non-neoplastic lesions, as well as distinguishing low-grade carcinomas from high-grade ones. This distinction is critical, as treatment modalities vary significantly: neoplastic lesions are generally managed surgically, whereas non-neoplastic lesions often do not require surgical intervention. Additionally, identifying whether a carcinoma is low-grade or high-grade helps guide the extent of surgery—for instance, preserving the facial nerve in parotid tumours.
The reported sensitivity and specificity of salivary gland FNA range between 86–100% and 90–100%, respectively. However, diagnostic accuracy may vary depending on several factors, including the operator’s skill, quality of the cytologic preparations, experience of the cytopathologist, morphological heterogeneity of the lesion, and the presence of cystic components. Notably, the accuracy of FNA in subtyping salivary gland neoplasms is more variable due to the inherent complexity of these lesions [1, 2].
To address these challenges and improve diagnostic consistency, the Milan System for Reporting Salivary Gland Cytopathology (MSRSGC) was developed. It provides a standardized, evidence-based framework that classifies lesions into six diagnostic categories, each associated with an estimated risk of malignancy (ROM). This tiered reporting system enhances communication between cytopathologists and clinicians and facilitates optimal patient management [1, 3, 4].
Although many studies have already been conducted on this topic, no studies have been done in Diphu Medical College and Hospital, Diphu, India.This study aims to determine the cytopathological spectrum of salivary gland lesions using the Milan System for Reporting Salivary Gland Cytopathology (MSRSGC) in patients attending Diphu Medical College and Hospital, Diphu.
Materials and methods
This cross-sectional study was conducted in the Department of Pathology at Diphu Medical College and Hospital (DMCH) over a period of three and a half years, from December 2019 to June 2022. A total of 36 cases of salivary gland lesions were included. Patients referred to the Department of Pathology for FNAC of salivary gland swellings were evaluated after obtaining written informed consent, along with detailed clinical history and relevant investigations. The histological reports and clinical follow up, were compared wherever available. The inclusion criteria comprised all patients undergoing FNAC of the salivary glands who consented and were willing to participate in the study. Ethical clearance for the study was obtained from the Institutional Ethics Committee of DMCH.
Patients referred for FNAC of cervical lymph nodes or those who did not give consent were excluded. Fine-needle aspiration was performed using a 23- or 25-gauge needle, either by free-hand technique or under ultrasonographic guidance in selected cases. Multiple needle passes were made to reduce sampling and interpretative errors. In cases with cystic lesions, the residual swelling was re-aspirated after evacuation of the fluid. Smears were prepared from the aspirated material, air-dried, and stained with Giemsa stain. All slides were examined under a light microscope by 3 senior cytopathologist and each case was categorized according to the six-tier diagnostic framework of the Milan System for Reporting Salivary Gland Cytopathology.
Data were recorded in Microsoft Excel spreadsheets, and descriptive statistical analysis was performed. The bibliography was prepared using the Vancouver style of referencing.
Results
A total of 36 cases of salivary gland lesions were included in the study, with patients ranging in age from 3 to 80 years. There was an equal gender distribution, with 18 males and 18 females. The majority of cases originated from the parotid gland (21 cases, 58.3%), followed by the submandibular gland (15 cases, 44.4%).
In terms of cytological diagnosis, pleomorphic adenoma was the most commonly reported lesion, accounting for 14 cases, followed by sialadenitis in 10 cases. Mucoepidermoid carcinoma was diagnosed in 3 cases, while adenoid cystic carcinoma was seen in 2 cases. One case each of acinic cell carcinoma and mucocele was also identified.
Upon reclassification according to the Milan System for Reporting Salivary Gland Cytopathology, the distribution of cases across the diagnostic categories was as follows: Category I – 3 cases (8.3%), Category II – 12 cases (33.3%), Category III – 0 cases (0%), Category IVA – 15 cases (41.67%), Category IVB – 0 cases (0%), Category V – 0 cases (0%), and Category VI – 6 cases (16.67%). Histopathological follow up was available in 17 cases only of which 13 cases were diagnosed as pleomorphic adenoma ,1 and 3 cases as mucoepdermoid carcinoma and warthins tumor respectively. The distribution of cases based on the Milan classification and histopathological diagnosis is presented in Table 1.
Table 1: Overall distribution of cases according to the Milan System for Reporting Salivary Gland Cytopathology and number of histopathological cases categorically.
|
Milan category
|
Cases
|
Total no. of cases (proportion in cases%)
|
No. of HPE cases
|
|
I
|
Acellular (1)
|
3 (8.33%)
|
0
|
|
Paucicellular (1)
|
0
|
|
Haemorrhagic (1)
|
0
|
|
II
|
Sialoadenitis (10)
|
12 (33.33%)
|
0
|
|
Non neoplastic retention cyst (1)
|
0
|
|
Mucocele (1)
|
0
|
|
III
|
0
|
0 (0%)
|
0
|
|
IV A
|
Pleomorphic adenoma (14)
|
15(41. 67%)
|
13
|
|
Warthins tumor (1)
|
3
|
|
IV B
|
0
|
0 (0%)
|
0
|
|
V
|
0
|
0 (0%)
|
0
|
|
VI
|
Mucoepidermoid carcinoma (3)
|
6 (16.67%)
|
1
|
|
Adenocystic carcinoma (2)
|
0
|
|
Acinic carcinoma (1)
|
0
|
|
Total
|
36
|
17
|

Figure 1: Pie-chart representation of the various cases in our study.

Figure 2: Pleomorphic adenoma (10x magnification, Giemsa stain).

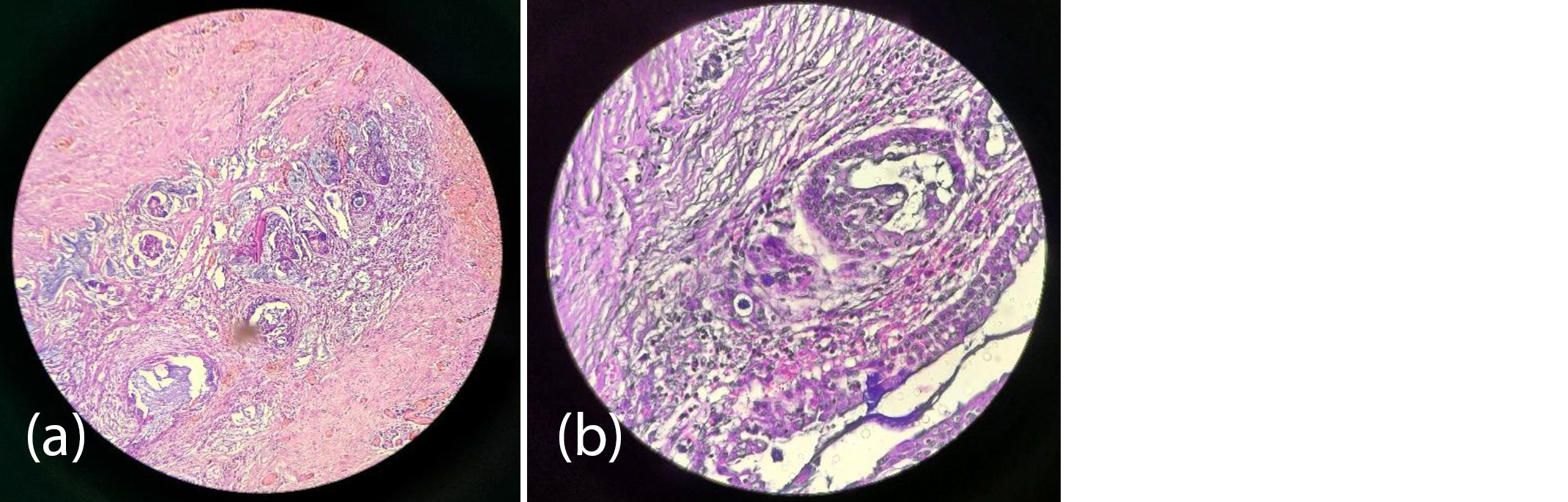
Figure 3a & 3b: Pleomorphic adenoma (10x and 40x magnification, H&E stain).

Figure 4: Warthin tumour (40x magnification, Giemsa stain).

Figure 5: Mucoepidermoid carcinoma (100x magnification , Giemsa stain).

Figure 6a & 6b: Mucoepidermoid carcinoma (10x and 40x magnification, H&E stain).
Table 2: Distribution of cases according to the Milan System for Reporting Salivary Gland Cytopathology across three age groups (below 20 years, 20–50 years, and above 50 years).
|
Age Group
|
Milan Cat. I
|
Milan
Cat. II
|
Milan Cat. III
|
Milan Cat. IV A
|
Milan Cat. IV B
|
Milan Cat. V
|
Milan Cat. VI
|
Total
(Proportion)
|
|
< 20 y
|
0
|
4
|
0
|
0
|
0
|
0
|
0
|
4 (11.11%)
|
|
20 – 50y
|
2
|
7
|
0
|
15
|
0
|
0
|
2
|
26 (72.22%)
|
|
>50
|
1
|
1
|
0
|
0
|
0
|
0
|
4
|
6 (16.67%)
|
Table 3: Distribution of cases according to the Milan System for Reporting Salivary Gland Cytopathology based on gender (male and female).
|
Sex
|
Milan
Cat.I
|
Milan
Cat. II
|
Milan Cat. III
|
Milan Cat.
IV A
|
Milan Cat.
IV B
|
Milan Cat. V
|
Milan Cat. IV
|
Total
(Proportion in %)
|
|
Male
|
2
|
10
|
0
|
3
|
0
|
0
|
3
|
18 (50%)
|
|
Female
|
1
|
2
|
0
|
12
|
0
|
0
|
3
|
18 (50%)
|
Table 4: Sex-wise distribution of cases across three age groups (below 20 years, 20–50 years, and above 50 years).
|
Age Group
|
Sex / Gender
|
|
Male
|
Female
|
|
< 20 y
|
4 (11.11%)
|
0(0%)
|
|
20 - 50 y
|
10(27.78%)
|
16 (44.44%)
|
|
>50 y
|
4(11.11%)
|
2 (5.57%)
|
|
Total
|
18 (50%)
|
18(50%)
|
Table 5: Distribution of cases according to the Milan System for Reporting Salivary Gland Cytopathology across different salivary gland sites (right and left parotid, submandibular, and sublingual glands).
|
Milan cat.
|
Parotid gland
|
Submandibular Gland
|
Sublingual Gland
|
|
Right
|
Left
|
Right
|
Left
|
Right
|
Left
|
|
I
|
2
|
0
|
1
|
0
|
0
|
0
|
|
II
|
0
|
2
|
5
|
5
|
0
|
0
|
|
III
|
0
|
0
|
0
|
0
|
0
|
0
|
|
IVA
|
9
|
5
|
0
|
1
|
0
|
0
|
|
IV B
|
0
|
0
|
0
|
0
|
0
|
0
|
|
V
|
0
|
0
|
0
|
0
|
0
|
0
|
|
VI
|
2
|
1
|
2
|
1
|
0
|
0
|
|
Total
|
13(36.11%)
|
8(22.22%)
|
8 (22.22%)
|
7 (19.45%)
|
0 (0%)
|
0 (0%)
|
|
21(58.33)
|
15 (41.67%)
|
0 (0%)
|
Discussion
The Milan System for Reporting Salivary Gland Cytopathology (MSRSGC) is a widely accepted reporting framework for salivary gland cytology specimens. It was developed by an international consortium of experienced healthcare professionals to promote standardized communication among clinicians and institutions, thereby improving overall patient care [5, 6]. The system is evidence-based and derived from comprehensive literature reviews, correlating diagnostic categories with risk of malignancy (ROM) and guiding appropriate clinical management strategies [7, 8].
In our study, a total of 36 salivary gland fine-needle aspiration cytology (FNAC) cases were evaluated and reported based on the MSRSGC over a period of 3.5 years. The majority of cases were classified under Category IVA (41.67%), followed by Category II (33.33%). A smaller number were placed in Category I (8.33%) and Category VI (16.67%). No cases were recorded in Categories III, IVB, or V (Table 1). Among the non-neoplastic cases (Category II), the most frequent diagnosis was sialadenitis (approximately 83.33%), followed by retention cysts and mucoceles (each constituting approximately 8.33%). Within the benign neoplasms (Category IVA), pleomorphic adenoma accounted for the majority of cases (93.33%), while Warthin’s tumour constituted the remaining 6.67%. Regarding malignant neoplasms (Category VI), mucoepidermoid carcinoma was the most common (50%), followed by adenoid cystic carcinoma (33.33%) and acinic cell carcinoma (16.67%). For category I, following conditions were followed very strictly - less than 60 lesional cells, poorly prepared slides with artefacts precluding proper assessment, nonmucinous cyst contents or normal salivary gland elements in the setting of clinically or radiologically defined mass (Table 1).
The age distribution revealed that most cases occurred in the 20–50 years age group (72.22%), with fewer cases in individuals under 20 years (11.11%) and above 50 years (16.67%) (Table 2). More than half of the non-neoplastic lesions (Category II) were seen in the 20–50 age group (58.33%). All benign neoplasms (Category IVA) occurred in this same age group. In contrast, most malignant cases (Category VI) were found in patients above 50 years (66.67%).
The sex distribution was equal, with 50% of cases reported in both males and females, yielding a 1:1 sex ratio. Malignant cases were equally distributed between sexes. However, non-neoplastic lesions showed male predominance, whereas benign neoplasms showed a female predominance. Male predominance was also observed in the <20 and >50 age groups, while females predominated in the 20–50 age group (Tables 3 and 4).
The parotid gland was the most frequently affected site (58.33%), followed by the submandibular gland (44.44%). In both glands, the right side was more commonly involved. Non-neoplastic lesions (Category II) predominantly involved the submandibular gland (83.33%), while malignant lesions (Category VI) were equally distributed between the parotid and submandibular glands (50% each). No lesions were reported in the sublingual glands (Table 5).
Numerous studies have evaluated the accuracy and utility of the Milan system in different institutional settings. Schmidt et al. and Liu et al. provided comprehensive meta-analyses on the diagnostic accuracy of fine-needle aspiration cytology (FNAC) in salivary gland lesions, highlighting its clinical relevance and sensitivity/specificity profiles [7, 10]. The MSRSGC allows for risk stratification based on cytological findings, which enhances the diagnostic approach to both benign and malignant salivary gland tumours [11].
In clinical practice, the reproducibility and diagnostic precision of the Milan system have been validated through multi-institutional and international studies [12]. The use of FNAC guided by ultrasound has also been shown to improve diagnostic accuracy [13]. Further, updated studies emphasize the value of MSRSGC in guiding management decisions, particularly in distinguishing neoplasms from non-neoplastic lesions and reducing false positives/negatives [14, 15].
Overall, the Milan system offers a standardized, risk-based classification that supports better diagnostic, prognostic, and therapeutic decisions across healthcare settings [5, 6, 9, 16].
Recent literature continues to support the robustness and adaptability of the MSRSGC, with studies from 2019 onwards demonstrating its consistent diagnostic accuracy across diverse populations and clinical settings. Several multicentred validations have reaffirmed its utility in stratifying salivary gland lesions and correlating risk of malignancy with cytological categories [17–19]. Moreover, recent investigations highlight the benefit of integrating ancillary techniques such as cell block preparation, immunocytochemistry, and molecular testing, which enhance the diagnostic yield, especially in indeterminate categories [20, 21]. The system has also shown prognostic value, as risk stratification directly informs the extent of surgical intervention and follow-up strategies, thereby optimizing patient outcomes [22, 23]. Importantly, the most recent consensus statements recommend ongoing refinement of MSRSGC criteria to incorporate novel biomarkers and precision oncology approaches, ensuring that it remains relevant in contemporary practice [24].
This study has several limitations inherent with retrospective analysis. Moreover, there is a low sample size and fewer histopathological follow-ups. Further validation using larger, more representative sample sizes is necessary before generalizing the results at a community level.
A key limitation of our study was the small sample size which may affect the applicability of our results to larger populations. Further studies with larger sample sizes are warranted to validate our findings and provide more robust evidence.
Conclusion
The Milan System for Reporting Salivary Gland Cytopathology provides a standardized framework for categorizing salivary gland lesions, enabling cytopathologists to offer more accurate and reproducible diagnoses. This system reduces false-positive and false-negative interpretations and aids clinicians in formulating appropriate management strategies based on the assigned category. It serves as a valuable tool for risk stratification and clinical decision-making.
Conflicts of interest
Authors declare no conflicts of interest.
References
[1] Rossi ED, Baloch Z, Faquin WC. The Milan System for Reporting Salivary Gland Cytopathology—An ASC initiative: Updates and future directions. Diagn Cytopathol. 2021; 49:12–17.
[2] Layfield LJ, Baloch ZW. The Milan System for Reporting Salivary Gland Cytopathology: A retrospective analysis over five years. Head Neck Pathol. 2022; 16:52–60.
[3] Gargano SM, Goyal R, Gokulan CG. Diagnostic accuracy of FNAC of salivary gland lesions using the Milan system. Cytopathology. 2023; 34:123–130.
[4] Sood N, Chauhan N, Mathur S. Role of the Milan System in Risk Stratification and Clinical Management of Salivary Gland Lesions: A tertiary care experience. J Cytol. 2024; 41:23–28.
[5] Faquin WC, Rossi ED. The Milan System for Reporting Salivary Gland Cytopathology. Switzerland: Springer International Publishing AG; 2018; pp.1–11.
[6] Rossi ED, Faquin WC, Baloch Z, Barkan GA, Foschini MP, et al.The Milan System for Reporting Salivary Gland Cytopathology: Analysis and suggestions of initial survey. Cancer Cytopathol. 2017; 125:757-766.
[7] Liu CC, Jethwa AR, Khariwala SS, Johnson J, Shin JJ. Sensitivity, specificity, and posttest probability of parotid fine needle aspiration: a systematic review and meta-analysis. Otolaryngol Head Neck Surg. 2016; 154:9–23.
[8] Rossi ED, Wong LQ, Bizzarro T, Petrone G, Mule A, et al. The impact of FNAC in the management of salivary gland lesions: institutional experiences leading to a risk-based classification scheme. Cancer Cytopathol. 2016; 124:388–389.
[9] Wei S, Layfield LJ, LiVolsi VA, Montone KT, Baloch ZW. Reporting of fine needle aspiration (FNA) specimens of salivary gland lesions: a comprehensive review. Diagn Cytopathol. 2017; 45:820–827.
[10] Schmidt RL, Hall BJ, Wilson AR, Layfield LJ. A systematic review and meta-analysis of the diagnostic accuracy of fine-needle aspiration cytology for parotid gland lesions. Am J Clin Pathol. 2011; 136:45–59.
[11] Hughes JH, Volk EE, Wilbur DC; Cytopathology Resource Committee, College of American Pathologists. Pitfalls in salivary gland fine-needle aspiration cytology: lessons from the College of American Pathologists Interlaboratory Comparison Program in Nongynecologic Cytology. Arch Pathol Lab Med. 2005; 129:26–31.
[12] Rodriguez CAC, Lazara S. Application of the Milan System for reporting salivary gland cytopathology: experience of an academic institution in a tertiary academic medical centre. Cancer Cytopathol. 2021; 129:204–213.
[13] Schmidt RL, Narra KK, Witt BL, Factor RE. Diagnostic accuracy studies of fine-needle aspiration show wide variation in reporting of study population characteristics: implications for external validity. Arch Pathol Lab Med. 2014; 138:88–97.
[14] Tyagi R, Dey P. Diagnostic problems of salivary gland tumors. Diagn Cytopathol. 2015; 43:495–509.
[15] Wang H, Fundakowski C, Khurana JS, Jhala N. Fine-needle aspiration biopsy of salivary gland lesions. Arch Pathol Lab Med. 2015; 139:1491–1497.
[16] Wang X, Wang H. The Milan System for reporting salivary gland cytopathology and updates. J Clin Transl Pathol. 2023; 3:126–133.
[17] Rossi ED, Faquin WC, Baloch Z, Bongiovanni M, Pusztaszeri M, et al. The Milan System for Reporting Salivary Gland Cytopathology: An international review of the literature. Head Neck Pathol. 2019; 13:55–65.
[18] Viswanathan K, Sung S, Scognamiglio T, Yang GCH. The role of the Milan System for Reporting Salivary Gland Cytopathology: A multi-institutional study. Cancer Cytopathol. 2020; 128:467–476.
[19] Al-Khafaji BM, Al-Abbadi MA. Diagnostic accuracy and risk of malignancy in salivary gland cytology using the Milan System: A meta-analysis. Diagn Cytopathol. 2021; 49:583–593.
[20] Trimboli P, Guidobaldi L, Bongiovanni M, Crescenzi A, Saponaro A, et al. Immunocytochemistry and molecular testing in salivary gland cytology: An update within the Milan System. Endocr Pathol. 2021; 32:204–212.
[21] Tommola S, Keski-Säntti H, Saarinen R, Kholová I. Ancillary techniques improve the risk stratification in salivary gland FNAC: Experience using the Milan System. Cytopathology. 2022; 33:66–74.
[22] Gupta S, Dey P, Chhieng DC. Risk stratification and outcome prediction using the Milan System in salivary gland FNAs. Diagn Cytopathol. 2022; 50:106–114.
[23] Torres-Cabala CA, Ho AS, Griffith CC. The prognostic value of the Milan System in salivary gland lesions: Clinical and surgical implications. Oral Oncol. 2023; 138:106312.
[24] Rossi ED, Baloch Z, Faquin WC. The Milan System for Reporting Salivary Gland Cytopathology: 2023 update and future directions. Cancer Cytopathol. 2024; 132:6–14.